Close
Πρωτογενης Χρωση

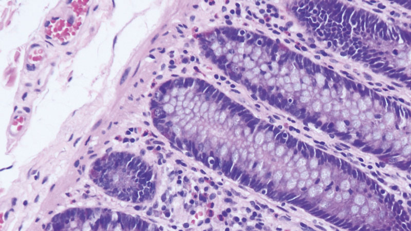
Τα αναλώσιμα Αιματοξυλίνης-Ηωσίνης είναι έτοιμα προς χρήση αντιδραστήρια που παρέχουν εξαιρετική ποιότητα χρώσης και επαναληψιμότητα χρησιμοποιώντας το μηχάνημα Dako CoverStainer. Όλα τα αντιδραστήρια είναι πλήρως συμβατά και μπορούν να εισαχθούν απευθείας στο σύστημα ελαχιστοποιώντας τον χειροκίνητο χρόνο. Το μέσο τοποθέτησης και η καλυπτρίδα μειώνουν τον κίνδυνο εμφάνισης φυσαλίδων αέρα παρέχοντας έτσι διαυγή τμήματα ιστών αιματοξυλίνης-ηωσίνης. Η βάση πλακιδίων του Dako CoverStainer έχει μοναδικό σχεδιασμό που ελαχιστοποιεί τη μεταφορά αντιδραστηρίων, επεκτείνοντας τη μακροζωία του αντιδραστηρίου και επιτρέποντας συνεπή αποτελέσματα χρώσης ενώ ταυτόχρονα επιτρέπει πλήρη προβολή των πλακιδίων, γεγονός που βοηθάει να μειωθεί ο χρόνος που αφιερώνεται στη διαλογή τους. Τέλος, διατίθενται καλυπτρίδες ποιότητας σε διαφορετικά μεγέθη που κυμαίνονται από 24 mm πλάτος x 40-60 mm μήκος.